• Tel: 858.663.9055
  • SeparatorEmail: info@nsjbio.com
  • Tel: 858.663.9055
  • Email: info@nsjbio.com
Home >> Antibodies >> IDH3G Antibody / Isocitrate dehydrogenase [NAD] subunit gamma

IDH3G Antibody / Isocitrate dehydrogenase [NAD] subunit gamma (RQ8518)

  Catalog No Formulation Size Price (USD)  
Image RQ8518 0.5mg/ml if reconstituted with 0.2ml sterile DI water 100 ug 439
Bulk quote request
Western blot testing of 1) rat heart, 2) rat kidney, 3) rat brain, 4) mouse heart, 5) mouse kidney, 6) mouse brain and 7) rat HBZY cell lysate with IDH3G antibody. Predicted molecular weight ~41 kDa.
Western blot testing of 1) human A431, 2) human MCF7, 3) human HeLa, 4) human 293T, 5) human U-251 and 6) monkey COS-7 cell lysate with IDH3G antibody. Predicted molecular weight ~41 kDa.
IHC staining of FFPE human esophageal squamous carcinoma tissue with IDH3G antibody. HIER: boil tissue sections in pH8 EDTA for 20 min and allow to cool before testing.
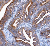
IHC staining of FFPE human rectum adenocarcinoma tissue with IDH3G antibody. HIER: boil tissue sections in pH8 EDTA for 20 min and allow to cool before testing.
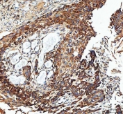
IHC staining of FFPE human liver cancer tissue with IDH3G antibody. HIER: boil tissue sections in pH8 EDTA for 20 min and allow to cool before testing.
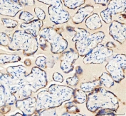
IHC staining of FFPE human placental tissue with IDH3G antibody. HIER: boil tissue sections in pH8 EDTA for 20 min and allow to cool before testing.
IHC staining of FFPE rat heart tissue with IDH3G antibody. HIER: boil tissue sections in pH8 EDTA for 20 min and allow to cool before testing.
Immunofluorescent staining of FFPE human PC-3 cells with IDH3G antibody (green) and DAPI nuclear stain (blue). HIER: steam section in pH6 citrate buffer for 20 min.
Flow cytometry testing of fixed and permeabilized human 293T cells with IDH3G antibody at 1ug/million cells (blocked with goat sera); Red=cells alone, Green=isotype control, Blue= IDH3G antibody.
Availability 1-3 days
Species Reactivity Human, Mouse, Rat, Monkey
Format Antigen affinity purified
Clonality Polyclonal (rabbit origin)
Isotype Rabbit IgG
Purity Antigen affinity purified
Buffer Lyophilized from 1X PBS with 2% Trehalose
UniProt P51553
Localization Cytoplasm
Applications Western Blot : 0.5-1ug/ml
Immunohistochemistry (FFPE) : 2-5ug/ml
Immunofluorescence : 5ug/ml
Flow Cytometry : 1-3ug/million cells
ELISA : 0.1-0.5ug/ml
Limitations This IDH3G antibody is available for research use only.
Review this product on BioCompare and get a $20 Amazon gift card

Related Products

Description

Isocitrate dehydrogenase [NAD] subunit gamma, mitochondrial is an enzyme that in humans is encoded by the IDH3G gene. Isocitrate dehydrogenases catalyze the oxidative decarboxylation of isocitrate to 2-oxoglutarate. These enzymes belong to two distinct subclasses, one of which utilizes NAD(+) as the electron acceptor and the other NADP(+). Five isocitrate dehydrogenases have been reported: three NAD(+)-dependent isocitrate dehydrogenases, which localize to the mitochondrial matrix, and two NADP(+)-dependent isocitrate dehydrogenases, one of which is mitochondrial and the other predominantly cytosolic. NAD(+)-dependent isocitrate dehydrogenases catalyze the allosterically regulated rate-limiting step of the tricarboxylic acid cycle. Each isozyme is a heterotetramer that is composed of two alpha subunits, one beta subunit, and one gamma subunit. The protein encoded by this gene is the gamma subunit of one isozyme of NAD(+)-dependent isocitrate dehydrogenase. This gene is a candidate gene for periventricular heterotopia. Several alternatively spliced transcript variants of this gene have been described, but only some of their full length natures have been determined.

Application Notes

Optimal dilution of the IDH3G antibody should be determined by the researcher.

Immunogen

An E.coli-derived human recombinant protein (amino acids R24-D357) was used as the immunogen for the IDH3G antibody.

Storage

After reconstitution, the IDH3G antibody can be stored for up to one month at 4oC. For long-term, aliquot and store at -20oC. Avoid repeated freezing and thawing.

Cross
Bulk Quote Request Form
Name*:
Organization*:
Email*:
Phone Number*:
Catalog No.*:
Comments and Specifics(amount, formulation, etc.)*:
Validation code: Captchapackage Image


Can't read the image? click here to refresh.
    *required field

Your bulk quote request has been submitted successfully!

Please contact us if you have any questions.